Baby Beanie and her wry nose
July 18, 2019
Equine veterinary hospital Comments Off on Standing tieback surgery for ‘roarers’
22
15
18
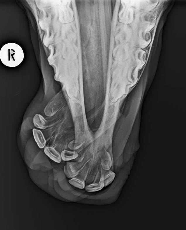
“Baby Beanie” as she is affectionately known by the team, has spent many weeks of her short life under the care of Camden Equine Centre.
She suffers from a congenital deformity named Wry Nose, which as the names suggests is a twisted nose. This means her teeth did not occlude and she had great difficulty suckling, her nasal passages were partially obstructed and she had difficult breathing. Reconstructive surgery was the only option for Beanie and thanks to the entire team at Camden Equine Centre along with our specialist equipment we are happy to say Beanie’s is able to breath and eat properly and will go onto to live a happy life. We are very grateful to Beanies owners who trusted us with her care. for more info on Beanies case check ou
INFO: wry nose or “campylorhinus lateralis” is a congenital disease that is rare in horses. Foals are born with a deviated nasal passage an pre-maxilla. The causes of this deformity is not totally known. In most cases this creates a blockage of both nasal passages and foals will quickly die considering they are not able to breath. Rapid intervention to free the airway may be needed. In other cases where there is sufficient airflow foals can be nursed until they are old enough to undergo surgery. Depending on the degree of deformity the prognosis for athletic outcome without intervention is regarded as poor. Following surgery, if the airway can be reestablished properly the prognosis is good. It is a demanding intervention requiring a dedicated specialist staff and great financial commitment from owners, but it can be done.
As a teaching hospital of The University of Sydney we are dedicated to leading the way in veterinary education, animal science and research that advances the health and welfare of animals and benefits the community. Although veterinary medicine contributes significantly to advances made in human healthcare, it is the commercial availability of equipment developed for humans that has allowed us to improve our outcomes in horse medicine. Most of our advanced surgical and medical equipment is developed and marketed by human healthcare providers, often making cost of the equipment prohibitive for use in horses.
In order to allow access to this equipment for our equine patients we are seeking help to update equipment to the latest state of the art technologies. The goal is to significantly improve the welfare of the horses we treat by enhancing treatment outcomes including unnecessary euthanasia.
Gifts of all sizes can make a huge difference in the treatment we can provide our horses. 100% of all donations will go directly to the Camden Equine Centre equipment priorities fund which will help provide state of the art equipment ensuring all horses can receive the treatment and rehabilitation they need to live happy and healthy lives.
Click here to donate today https://crowdfunding.sydney.edu.au/project/15541


0 Comments